矯正治療例Cases

- あおい矯正歯科(京都市 四条烏丸)ホーム
- 矯正治療例
矯正治療例
矯正治療の対象となる歯並びや噛み合わせと、その矯正治療例をご説明いたします。
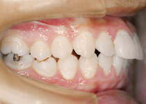
叢生~乱杭歯・八重歯
叢生(そうせい)とは、歯並びのガタガタのことです。一般的には乱杭歯(らんぐいば)、八重歯(やえば)と呼ばれることもあります。叢生は、あごの骨の大きさに対して歯が大きすぎて、歯が並ぶスペースが不足している場合に起こります。叢生の歯並びでは、歯が重なり合った場所を正しく歯磨きすることは難しく、虫歯や歯周病になりやすい傾向があります(十分な歯磨きができる場合は問題ありません)。
現代人はよく「あごの骨が小さくなっている」と言われていますが、最近の研究ではむしろ歯のほうが大きくなっていることが叢生の原因であると指摘されています。厚生労働省の調査では、昭和56年では約6.5%の人にしか叢生は認められませんでしたが、平成11年の調査では約20.3%に急増しており、現在もその傾向が続いています。
叢生は、歯を並べるスペースを確保し、マルチブラケット装置等で歯を移動させて治療を行ないます。歯を並べるスペースが大きく不足しているときは、抜歯が必要になることがあります。
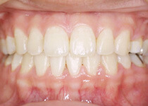
治療前




治療後



| 主訴 | 歯ならびのがたがたが気になる。 |
|---|---|
| 診断名 | Angle Class I 叢生 |
| 初診時年齢 | 13歳2か月 |
| 装置名 | マルチブラケット装置、ヘッドギア装置、パラタルバー装置、顎間エラスティック装置、ラップアラウンドタイプリテーナー(上下顎) |
| 抜歯非抜歯 | 上下顎左右第一小臼歯の抜歯(合計2本) |
| 治療期間 | 3年(通院回数:36回) |
| 費用の目安 | 約92万円+消費税(検査料金、都度の処置費用等も合わせた総額) |
| リスク副作用 | 歯の移動に伴う軽微な歯根吸収、歯槽骨吸収、歯肉退縮(いずれも本症例ではほぼ無し)、矯正器具装着中のカリエスリスク増大(本症例ではカリエス発生無し) |
空隙歯列
空隙歯列とは、歯列に隙間が空いている状態を指します。
叢生の場合とは反対に、歯が小さすぎる場合や歯列の幅が広すぎる場合など、歯が並ぶための場所が余っている場合に生じることがあります。また、舌の癖や指吸いなどが原因で歯列の一部に隙間が生じることがあります。そのほか、過剰歯と呼ばれる通常の人には存在しない余分な歯が歯茎の中に眠っている場合にも歯列に隙間が生じます。
空隙歯列を治すためには、歯を動かして隙間を閉じるだけでなく、空隙が発生した原因を取り除くことが必要となります。
治療前










治療後









| 主訴 | すきっ歯と前歯が出ていることが気になる。 |
|---|---|
| 診断名 | Angle Class I 空隙歯列 |
| 初診時年齢 | 13歳11か月 |
| 装置名 | マルチブラケット装置、ネックストラップ装置、UL: ラップアラウンドリテーナー、舌機能訓練 |
| 抜歯非抜歯 | 抜歯なし |
| 治療期間 | 3年3か月(通院回数:39回) |
| 費用の目安 | 約86万円+消費税(検査料金、都度の処置費用等も合わせた総額) |
| リスク副作用 | 歯の移動に伴う軽微な歯根吸収、歯槽骨吸収、歯肉退縮(いずれも本症例ではほぼ無し)、矯正器具装着中のカリエスリスク増大(本症例ではカリエス発生無し)、舌の習癖による歯列空隙の再発(本症例では保定2年3か月の時点で認められず) |
上顎前突~出っ歯
上顎前突症(じょうがくぜんとつしょう)とは、いわゆる「出っ歯」のことです。上あごの骨が前に成長し過ぎた場合や、下あごの骨が小さすぎる場合に起こります。上顎前突では上の前歯が前方へ傾いていることが多いため、つまずいて転ぶなどの日常の事故で唇や歯を痛める危険性があります。アメリカでの学会報告では、上顎前突の子供の3人に1人は、上の前歯が折れたり、歯髄(歯の神経)を傷めたりする可能性があるとされています。
子供のころから矯正治療を開始すると、あごの骨の成長をコントロールして上顎前突を改善できる場合があります。大人の方の場合は、マルチブラケット装置などで歯を移動させることで治療を行ないます。
治療前



治療後


| 主訴 | 上の歯が出ている。 |
|---|---|
| 診断名 | Angle Class II 上顎前突症 |
| 初診時年齢 | 19歳11か月 |
| 装置名 | マルチブラケット装置、ヘッドギア装置、パラタルバー装置、顎間エラスティック装置、U:ラップアラウンドリテーナー、L:スプリングリテーナー |
| 抜歯非抜歯 | 上顎左右第一小臼歯(合計2本) |
| 治療期間 | 2年5か月(通院回数:29回) |
| 費用の目安 | 約86万円+消費税(検査料金、都度の処置費用等も合わせた総額) |
| リスク副作用 | 歯の移動に伴う軽微な歯根吸収、歯槽骨吸収、歯肉退縮(いずれも本症例ではほぼ無し)、矯正器具装着中のカリエスリスク増大(本症例ではカリエス発生無し) |
下顎前突~受け口
下顎前突症(かがくぜんとつしょう)とは、いわゆる「受け口」のことです。前歯の角度に主な原因があるものと、骨格に主な原因があるものの二種類があります。骨格の問題には下あごの骨が大きく成長し過ぎているものや、上あごの骨が小さすぎるものがあります。
下顎前突では下唇が前に押されるため、普通にしていてもムスッとした表情に見られることがあります。
子供のころから治療を開始すると、あごの骨の成長をコントロールして下顎前突を改善できる場合があります。しかし下あごの骨は身長の伸びとともに大きく成長しますので、ある程度成長が終了しないと最終的な治療方針を決定することができないことがあります。大人の方の場合は、あごの骨の位置や形を変えることができないため、マルチブラケット装置などで歯を移動させることで治療を行ないます。あごの骨の大きさによる問題が強い場合は、後述する顎変形症という分類になります。
治療前



治療後


| 主訴 | 歯並びの見た目が気になる。受け口が気になる。 |
|---|---|
| 診断名 | Angle Class III 下顎前突症 |
| 初診時年齢 | 18歳2か月 |
| 装置名 | マルチブラケット装置、バイトプレート装置、リンガルアーチ装置、顎間エラスティック装置、U:ホーレータイプリテーナー、L:スプリングリテーナー |
| 抜歯非抜歯 | 抜歯なし |
| 治療期間 | 1年9か月(通院回数:21回) |
| 費用の目安 | 約92万円+消費税(検査料金、都度の処置費用等も合わせた総額) |
| リスク副作用 | 歯の移動に伴う軽微な歯根吸収、歯槽骨吸収、歯肉退縮(いずれも本症例ではほぼ無し)、矯正器具装着中のカリエスリスク増大(本症例ではカリエス発生無し) |
上下顎前突~出っ歯・口元の突出
上下顎前突症(じょうげがくぜんとつしょう)とは、上下の歯が前方へ傾いた状態です。歯が前方に出ているため、口を閉じようとしても上下の唇を閉じることが難しく、閉じると唇が歯に押されて口もと全体が盛り上がったように見えます。顔の見た目への影響が強い不正咬合です。叢生の場合と同じく、歯が大きすぎることやあごの骨が狭すぎることによって歯が並ぶスペースが不足して生じます。
スペースを確保し、マルチブラケット装置等で歯を移動させて治療することができます。唇を閉じる筋肉の力が不足している場合は、唇周囲の筋肉を鍛える訓練を行ないます。
治療前



治療後


| 主訴 | 前歯と口元が出ている。 |
|---|---|
| 診断名 | Angle Class I bimaxillary protrusion |
| 初診時年齢 | 12歳4か月 |
| 装置名 | マルチブラケット装置、ヘッドギア装置、顎間エラスティック装置、U:ラップアラウンドリテーナー、L:ラップアラウンドリテーナー |
| 抜歯非抜歯 | 上下顎左右第一小臼歯(合計4本) |
| 治療期間 | 3年(通院回数:36回) |
| 費用の目安 | 約92万円+消費税(検査料金、都度の処置費用等も合わせた総額) |
| リスク副作用 | 歯の移動に伴う軽微な歯根吸収、歯槽骨吸収、歯肉退縮(いずれも本症例ではほぼ無し)、矯正器具装着中のカリエスリスク増大(本症例ではカリエス発生無し) |
開咬~オープンバイト
開咬(かいこう)とは、奥歯でしっかり噛んだ状態でも前歯を完全に閉じることができない状態です。奥歯しか当たらないため咀嚼能力が低下します。あごの骨の形が原因となる場合のほか、舌の使い方や癖が原因となることがあります。物を飲みこむとき、普通の方は舌が上のあごの内側に収まりますが、開咬の方の場合は上下の歯のすき間に舌を押し込んだり、歯の裏側を強く押すような状態になります。このような舌の動きによって歯に余分な力がかかり、前歯が上下に開いた状態になります。
マルチブラケット装置で歯を移動させて治療を行ないますが、舌の使い方や癖に問題がある場合は、舌の動きをコントロールする装置や筋機能訓練が必要となります。
治療前



治療後


| 主訴 | 前歯でものがかめない。前歯が上下に空いている。 |
|---|---|
| 診断名 | Angle Class I 開咬症 |
| 初診時年齢 | 25歳5か月 |
| 装置名 | マルチブラケット装置、矯正用マイクロスクリュー装置、顎間エラスティック装置、舌機能トレーニング、U:ラップアランドリテーナー L:スプリングリテーナー |
| 抜歯非抜歯 | 抜歯なし |
| 治療期間 | 2年2か月(通院回数:26回) |
| 費用の目安 | 約86万円+消費税(検査料金、都度の処置費用等も合わせた総額) |
| リスク副作用 | 歯の移動に伴う軽微な歯根吸収、歯槽骨吸収、歯肉退縮(本症例ではわずかな下顎前歯部の歯槽骨吸収が認められた)、矯正器具装着中のカリエスリスク増大(本症例ではカリエス発生無し)、舌の習癖による歯列の後戻り(本症例では保定2年6か月の時点で認められず) |
過蓋咬合
過蓋咬合(かがいこうごう)とは、前歯が深く噛み過ぎている状態です。下の前歯が上の歯の内側の歯肉を噛んでいることや、下の前歯が異常にすり減っていることがあり、歯や歯周組織に過度の負担がかかる咬み合わせです。ひどい場合には上の前歯をだめにしてしまうこともあります。原因として、噛む力の強さの問題や、潜在的な上顎前突である(前歯は一見正常でも、奥歯や骨の位置がずれている)ことなどがあげられます。
マルチブラケット装置などで歯を移動させて治療を行ないます。多くの場合、上顎前突を伴いますので、上顎前突の治療も行ないます。
治療前



治療後


| 主訴 | 前歯が出ている。上の前歯の内側の歯茎に下の歯が当たって痛い。 |
|---|---|
| 診断名 | Angle Class II 過蓋咬合、叢生 |
| 初診時年齢 | 13歳1か月 |
| 装置名 | マルチブラケット装置、ネックストラップ装置、U:ラップアラウンドリテーナー L:スプリングリテーナー |
| 抜歯非抜歯 | 上顎左右第一小臼歯(合計2本) |
| 治療期間 | 3年9か月(通院回数:45回) |
| 費用の目安 | 約92万円+消費税(検査料金、都度の処置費用等も合わせた総額) |
| リスク副作用 | 歯の移動に伴う軽微な歯根吸収、歯槽骨吸収、歯肉退縮(本症例では上顎前歯部にわずかに歯根吸収が認められた)、矯正器具装着中のカリエスリスク増大(本症例ではカリエス発生無し) |
顎変形症
顎変形症(がくへんけいしょう)とは、上下のあごの成長が通常とは異なることによって起きる不正咬合の総称です。極端な上顎前突や下顎前突、骨の異常な成長によって生じた開咬や過蓋咬合などが含まれます。正面から顔を見たとき左右の非対称性が強い場合も、顎変形症である場合があります。
あごの骨に大きな問題があるため、矯正治療のみでは治療することができません。まずマルチブラケット装置で上下の歯並びを治療し、その後あごの骨の位置を外科手術で治す「外科矯正」という治療法を行ないます。
当医院では、京都大学附属病院歯科口腔外科や洛和会音羽病院歯科口腔外科等と連携して外科矯正治療を行なっています。また当医院は育成・更生医療指定機関のため、顎変形症の治療に対して保険を適用することができます。
治療前



治療後


| 主訴 | うけ口か気になる。歯並びががたがた。 |
|---|---|
| 診断名 | 顎変形症(下顎前突)、叢生 |
| 初診時年齢 | 26歳11か月 |
| 装置名 | マルチブラケット装置、顎間エラスティック装置、U:ラップアラウンドリテーナー、L:スプリングリテーナ |
| 抜歯非抜歯 | 上下顎左右第二小臼歯抜歯(合計4本) |
| 治療期間 | 3年(通院回数:36回) |
| 費用の目安 | 健康保険(本症例では当院での自己負担金額約28万円)+口腔外科での入院・手術費用(一般的に30~50万円) |
| リスク副作用 | 歯の移動に伴う軽微な歯根吸収、歯槽骨吸収、歯肉退縮(いずれも本症例ではほぼ無し)、矯正器具装着中のカリエスリスク増大(本症例ではカリエス発生無し)、外科手術の全身麻酔に伴う一般的なリスク、手術後の顎骨形態の変化による骨の後戻り(本症例ではほぼ無し) |
- ・機能性や審美性を重視するため自費(保険適用外)での診療となり、保険診療よりも高額になります。
- ・最初は矯正装置による不快感、痛みなどがあります。数日から1~2週間で慣れることが多いです。
- ・治療期間は症例により異なりますが、成人矯正や永久歯がすべて生えそろっている場合は、一般的に1年半~3年(通院回数:18回~36回程度)を要します。小児矯正においては、混合歯列期(乳歯と永久歯が混在する時期)に行なう第1期治療で1~2年(通院回数:12回~24回程度)、永久歯がすべて生えそろった後に行なう第2期治療で1~2年半(通院回数:12回~18回程度)を要することがあります。
- ・歯の動き方には個人差があるため、治療期間が予想より長期化することがあります。
- ・装置や顎間ゴムの扱い方、定期的な通院など、矯正治療では患者さまのご協力がたいへん重要であり、それらが治療結果や治療期間に影響します。
- ・治療中は、装置がついているため歯が磨きにくくなります。虫歯や歯周病のリスクが高まるので、丁寧な歯磨きや定期メンテナンスの受診が大切です。また、歯が動くことで見えなかった虫歯が見えるようになることもあります。
- ・歯を動かすことにより歯根が吸収され、短くなることがあります。また、歯肉が痩せて下がることがあります。
- ・ごくまれに、歯が骨と癒着していて歯が動かないことがあります。
- ・ごくまれに、歯を動かすことで神経に障害を与え、神経が壊死することがあります。
- ・治療中に金属などのアレルギー症状が出ることがあります。
- ・治療中に、「顎関節で音が鳴る、顎が痛い、口をあけにくい」などの顎関節症状が出ることがあります。
- ・問題が生じた場合、当初の治療計画を変更することがあります。
- ・歯の形状の修正や、噛み合わせの微調整を行なうことがあります。
- ・矯正装置を誤飲する可能性があります。
- ・装置を外すときに、エナメル質に微小な亀裂が入る可能性や、補綴物(被せ物など)の一部が破損することがあります。
- ・装置を外した後、保定装置を指示どおりに使用しないと後戻りが生じる可能性が高くなります。
- ・装置を外した後、現在の噛み合わせに合わせて補綴物(被せ物など)の作製や虫歯治療などをやり直す可能性があります。
- ・顎の成長発育により、噛み合わせや歯並びが変化する可能性があります。
- ・治療後に親知らずが生えて、歯列に凹凸が生じる可能性があります。
- ・加齢や歯周病などにより歯を支える骨が痩せると、歯並びや噛み合わせが変化することがあります。その場合、再治療が必要になることがあります。
- ・矯正治療は、一度始めると元の状態に戻すことが難しくなります。
- ・機能性や審美性を重視するため自費(保険適用外)での診療となり、保険診療よりも高額になります。
- ・正しい装着方法で1日20時間以上使用しないと、目標とする治療結果を得られないことがあるため、きちんとした自己管理が必要になります。
- ・ご自身で取り外せるため、紛失することがあります。
- ・症状によっては、マウスピース型装置で治療できないことがあります。
- ・お口の中の状態によっては、治療計画どおりの結果が得られないことがあります。
- ・装着したまま糖分の入った飲料をとると、虫歯を発症しやすくなります。
- ・治療によって、まれに歯根吸収や歯肉退縮が起こることがあります。
- ・食いしばりの癖が強い方の場合、奥歯が噛まなくなることがあります。
- ・治療途中で、ワイヤーを使う治療への変更が必要になることがあります。
- ・お口の状態によっては、マウスピース型装置に加え、補助矯正装置が必要になることがあります。
- ・治療完了後は後戻りを防ぐため、保定装置の装着が必要になります。
- ・インビザラインは薬機法(医薬品医療機器等法)においてまだ承認されていない医療機器です。日本では完成物薬機法対象外の装置であり、医薬品副作用被害救済措置の対象外となることがあります。
当院でご提供している「マウスピース型装置(インビザライン)」は、薬機法(医薬品医療機器等法)においてまだ承認されていない医療機器となりますが、当院ではその有効性を認め、導入しています。
○未承認医療機器に該当薬機法上の承認を得ていません(独立行政法人 医薬品医療機器総合機構ウェブサイトにて2024年8月29日最終確認)。
○入手経路等インビザライン・ジャパン株式会社より入手しています。
○国内の承認医療機器等の有無国内では、インビザラインと同様の性能を有した承認医療機器は存在しない可能性があります(独立行政法人 医薬品医療機器総合機構ウェブサイトにて2024年8月29日最終確認)。
○諸外国における安全性等にかかわる情報現在世界100カ国以上で提供され、これまでに900万人を超える患者さまが治療を受けられています(2020年10月時点)。情報が不足しているため、ここではインビザラインの諸外国における安全性等にかかわる情報は明示できません。今後重大なリスク・副作用が報告される可能性があります。
なお、日本では完成物薬機法対象外の矯正装置であり、医薬品副作用被害救済制度の対象外となる場合があります。
※当該未承認医薬品・医療機器を用いた治療の広告に対する注意事項の情報の正確性について、本ウェブサイトの関係者は一切責任を負いません。
- ・薬機法(医薬品医療機器等法)において承認された医療機器であり、マウスピース型装置(インビザライン)による治療を行なう工程で使用する機器となります。
- ・iTero(3D口腔内スキャナー)を使用して行なうマウスピース型装置(インビザライン)による治療は、自費診療(保険適用外)となり、保険診療よりも高額になります。
- ・印象剤を使用した従来の印象採得に比べ、印象採得時の不快感は大幅に軽減されますが、お口の中にスキャナーが入るため、ごくまれに多少の不快感を覚えることがあります。









